Orthodontics is when the teeth are straightened or moved in order to improve the appearance of your smile by correcting the alignment of your teeth and the way you bite together. An incorrect bite can lead to long term dental problems and even jaw and head pain. By straightening the teeth, you also help to prevent tooth decay and gum diseases as straighter teeth are easier to clean
Different types of materials are available for tooth restorations: There are different treatment techniques in orthodontics. Broadly they can be Removable Braces or Fixed Braces. 1. Removable Braces 1.1. Stainless Steel Fixed Braces 1.2. Acrylic Tooth Colored Braces 1.3. Lingual Braces 2. Fixed Braces 2.1. Myofunctional Appliances 2.2. Functional Orthopaedic Appliances (headgear) 2.3. Retainers Orthodontic braces are either fixed or removable Fixed braces consist of brackets and bands which are cemented (glued) to your teeth which hold flexible wires in place. In turn, these wires exert pressure on your teeth gently moving them into their correct position over the course of your treatment. Removable braces can be taken in and out of the mouth. It has delicate wires and springs attached which move the teeth using gentle pressure. These are used for less complex cases or in conjunction with fixed Braces as part of a combined treatment.
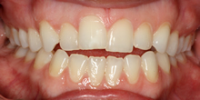
Before After
How does the treatment start?
We are specialists in the art of endodontics and all kinds of denture fabrications, bridges and artificial cosmetic crowns of the best quality. It is our mission to put a smile back on the faces of all elderly and senior citizens.

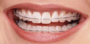
Straight Wire Orthodontics Ceramic or Tooth Colored or Clear Braces Lingual Braces
Your dentist will refer you to a dentist who specialises in braces 'Orthodontist', or you can refer yourself. At the first appointment, the Orthodontist will discuss with you what you would like to achieve from the orthodontic treatment. You will have an oral assessment, x-rays and moulds taken of your teeth. At the second appointment the orthodontist will outline your treatment plan to discuss all the options available to you. In many cases, permanent teeth need to be taken out to create space in your mouth so that the remaining teeth can be moved. If this is the case, the extractions are carried out by your regular dentist. How long does the treatment take? It usually takes between 18-24 months but will vary according to how complex the case is. We will provide you with a time frame at the beginning of the treatment; however breakages of the brace will add time to the treatment. Fitting the Braces Appointment Three - Small plastic bands ‘Separators’ will be placed in between your molar teeth. The bands will stay in place for one week to create a space between the teeth for the permanent molar bands. At the next appointment the molar bands, brackets and wires will be put in place. You may find that for the first couple of days your teeth may feel tender to bite and your jaw aches; this is because of the pressure of the brace, taking a headache tablet will help. If the discomfort lasts longer than a few days, make an appointment to see your orthodontist to see if your brace needs adjusting. You may find that your brace may also rub against the inside of your lips or cheeks. If this is the case, use the wax which your orthodontist will have supplied. You will now need to see your Orthodontist every six to eight weeks to have the bands and wires changed, tightened or indeed elastics added. If you have had your brace tightened, you may fell a little discomfort later in the day which is a normal and a headache tablet will help. You still require regular six month check-ups with your dentist to ensure your gums and teeth are healthy.
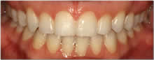
Before After
Looking after your Braces You will be able to eat most of the foods you were eating before, but more care will need to be taken not to damage your braces. There are some foods that have to be cut out of your diet whilst you are wearing the appliance. Chewy sweets, Hard foods Also think twice before opening bottles with your teeth, biting pen tops or chewing your finger nails as these can also damage your braces. It is very important that your oral hygiene is excellent as cleaning your teeth is much more difficult with a brace in place. Brushing your teeth after every snack and meal throughout the day will reduce the risk of decay and gum disease. In addition, take longer brushing your teeth in the morning and at night. Ask your Orthodontist which is the best type of tooth brush for cleaning braces. If you do not look after your teeth during your treatment they can become permanently stained. After your treatment is complete Your braces will be removed and your teeth cleaned and polished to remove any remaining cement. Your treatment is not over as the teeth need to be held in position while the surrounding gum and bone settles. This period is called retention and the appliance that holds the teeth are called retainers, which are either fixed or removable. Depending on the type of retainers, Impressions may to be taken in order for the retainers to be made at the dental laboratory. You will then return a week later to collect your retainers.