Cosmetic Dentistry

Tooth jewellary: Dental Care can improve the appearance of your teeth
Cosmetic Dentistry

Tooth jewellary:

Dental Care can improve the appearance of your teeth

cosmetic dentistry clip
The dentist will use a dental adhesive to apply the jewelry to your tooth. A smile that looks on million dollars. Sticking of skyce is absolutesly harmless procedure for your teeth, absolutely painless and takes only 10-20 minutes. We carry out the procedure responsibly using tried-and- tested products. Adding your smile a special touch, tooth jewelry ar its finest, Skyce is putting an extra sparkle into every smile.
People used to stay away from the Dentist unless they needed remedial work or were screaming with pain. Today, they are just as likely to visit a dental surgery for a dazzling new smile. The latest innovations include digital cameras that measure cavities, pain-free injections, drill-less dentistry and veneers no thicker than a contact lens.
How about a sparkling star on your lively bright teeth?  stars doesnt have to be only in the sky. We can get them on your teeth. people would turn back to have a glimpse of your smile. Stones of different sizes & different colors are available which can be fixed onto your teeth in a simple procedure. within minutes your teeth are ready to set a wave.

Tooth Whitening

cosmetic dentistry clip
Tooth whitening has become one of the most popular ways to improve your smile by lightening the existing shade of your natural teeth. This is a simple and effective treatment which can be carried out by your dentist or at home. Tooth whitening is non-invasive treatment which does not involve drilling or removal of the tooth surface.
cosmetic dentistry clip
There are many reasons why your teeth can become discoloured
Drinking tea, coffee or red wine
Food with strong colourings
Smoking
The natural act of ageing
A tooth which is damaged by trauma
Some teeth are naturally pigmented or stained as they develop Certain medications
Only natural teeth respond to tooth whitening, Crowns, Bridges, Dentures or Implants cannot be whitened.
 More information
The outer surface of the tooth is called ‘Enamel’ this has tiny microscopic holes which trap everyday stains. Tooth whitening gel is a peroxide based compound which penetrates the holes removing the stains and lightening the teeth.
 Home Whitening
cosmetic dentistry clip
Your dentist will provide you with the whitening kit which contains Custom made whitnening trays and a peroxide based gel. To have the trays made -
Home whitening can take up to 14 days to achieve your desired shade.
An impression (mould) is taken of your teeth using special dental quot;putty". The putty is placed into an impression tray; they are both then inserted into your mouth and pushed onto your teeth in order to take an impression. Once the dental putty is set the impression will be removed.
The moulds are sent to the Dental Laboratory where our technician will fabricate your custom made whitening trays.
The eroxide gel is placed into your trays the tray is then placed onto your teeth for a period of time.
cosmetic dentistry clip
The degree of whitening will vary from patient to patient, greyer teeth can take longer to respond. Tooth whitening is not permanent; the whitening process will need to be repeated every 12 – 18 months to keep your teeth at the shade you desire.

Zirconia Crowns

Enhance Your Smile Through Zirconia

cosmetic dentistry clip
Porcelain Fused to Metal (PFM) Crowns Zirconium Crowns
The look of zirconium crowns and bridges is so close to natural teeth that it is hard to tell the difference and it is this quality which makes it very useable within dental work. Zirconium crowns can be fixed using traditional dental cements.
Zirconium crowns have quickly become the preferred material for dental crowns. Zirconium is a very strong substance that can endure wear and tear of everyday use. When looking at Zirconium crowns from an aesthetic point it is clear and very similar to a natural tooth and reflects light the same way. This may be important if your new crowns are on the front of your mouth and it is particularly relevant in cases where the crown will be seen next to the natural teeth.
Porcelain is the conventional material used for the new crowns however; Full porcelain can chip or break. This is overcome by making the crowns from the metal, in this case metal zirconia, then merge the porcelain on the outside. Zirconia metal gives the strength while the porcelain gives the appearance of a normal tooth. Zirconium crowns allow light to pass as a normal tooth would and that gives a natural look, unlike other metal cores that are block the light.Proved in worldwide research.
Exclusively for our patients we have started using Zirconia in cosmetic treatment.
Advantages of zirconia crowns over metal ceramics:
  1. Superior aesthetics
  2. Higher strength
  3. No rusting
  4. No mouth odour
  5. No dark margins around the gums
  6. No receeding gums
  7. Natural looking for years
  8. No allergies or adverse reactions
  9. No heat conduction

Overview

These crowns do not corrode and the normal black gum line that you might see around a porcelain fused metal crown, will not occur, because of the strong ceramic material which is used. Also the hot and cold sensations you might feel with other crowns normally do not occur because of the lack of electrical conductivity.

Gum Contouring:

There can be changes in the shape of gums around the teeth due to several reasons like inflammation, as a side effect of several medicines or as overgrowth. These can make the teeth look short or too long & may pose problems in maintaining hygiene. Gum contouring will restore the teeth of their original size.
cosmetic dentistry cosmetic dentistry
Before After
Gummy Smile

Bonding:

cosmetic dentistry clip
BEFORE
cosmetic dentistry clip
AFTER
Dental bonding, also known as composite bonding, has been used in dentistry for many years. It is an excellent way to repair cracked, chipped and discolored teeth as well as replacing silver amalgam fillings. Dental bonding can also be used to close gaps and reshape misaligned teeth, providing a straighter, more uniform smile.
Bonding is probably the most conservative of all the cosmetic dentistry. It involves minimum alteration to the original tooth enamel, and is reversible if none of the tooth enamel is removed. The results are seen immediately.
Bonding has been used for many years, bonding composite to teeth is a very popular option because the material used
cosmetic dentistry clip
matches very closely to the shade of your natural teeth.
The Procedure
A local anaesthetic will be given to numb the tooth and the surrounding tissue - not  all bonding procedures require an injection
The tooth will be isolated from the rest of your teeth using a ‘rubber dam’ which is a thin sheet of rubber placed over your mouth. It is used to keep the tooth dry as saliva can compromise the bond of the composite.
The tooth will be thoroughly cleaned. All decay, food debris or tartar will be removed.
cosmetic dentistry clip
The tooth is prepared using a phosphoric-acid-based gel; this roughens the surface of the tooth. A bonding agent (glue) is applied to the roughened surface and set using a concentrated beam of ultraviolet light. The composite is then applied in layers and set at each stage using the ultraviolet light. The composite will be continued to be applied in layers until the desired shape is achieved.
The last stage is to polish the restoration to achieve the final shape and smooth finish.

Veneers

A veneer is a thin layer of tooth coloured material which is placed over your natural tooth to mask the underlying enamel.
Before After
Veneers are designed to enhance the appearance of your teeth by -
Masking permanently stained teeth.
Closing Diastemas – spaces between your teeth.
Straightening misaligned teeth.
Improving the appearance of damaged or broken teeth due to decay or trauma.
The procedure is usually completed in two visits which is a simple and relatively quick route to improve your smile, the first part of the procedure involves the dentist removing a small amount of enamel from the front of your tooth and the second appointment the veneers are fitted into place.
cosmetic dentistry cosmetic dentistry
Before After
Each veneer is  individually handcrafted by our dental technician to correct the appearance of your teeth to create a healthy natural look.
cosmetic dentistry cosmetic dentistry
Before After
The first part of the procedure will be a consultation appointment, this is when you can discuss with the dentist the concerns you have with your teeth and explain how you would like them improved.
Your dentist will have a ‘Diagnostic wax up’ made of your teeth to show how your teeth will look with veneers. This is a very simple procedure; the dentist will take impressions (mould) of your teeth and these will then be sent to the laboratory. Our technician will make a cast of your teeth using the supplied impressions (moulds). Dental wax is then applied to the cast, to show how the final veneers will look.
If you decide that veneers are for you, two appointments are then needed. The first appointment is when the dentist prepares the teeth and then a second is to fit the veneers.
cosmetic dentistry cosmetic dentistry
Before

After

The Preparation appointment
The dentist will give you a local anaesthetic to numb the tooth and the surrounding gum.
A small amount of tooth is removed from the front surface of your tooth to make room for the veneers. The dentist will do this using a fast hand drill.
An impression (mould) is taken of your teeth using special dental "putty". The putty is placed into an impression tray; they are both then inserted into your mouth and pushed onto your teeth in order to take an impression. Once the dental putty is set the impression will be removed.  An impression is also taken of the opposing teeth, so the technician can see how you bite together.
The dentist may fit temporary veneers to protect the teeth whilst your veneers are being fabricated.
The impression (mould) of your teeth is sent to the Dental Laboratory where each veneer will be handcrafted to create your new smile. This process can take between two and three weeks.
The Fit Appointment
Your temporary veneers will be removed and your teeth will be washed to remove any remaining cement.
Your new veneers will be temporarily placed using a special paste which will allow the dentist to make any adjustments that are required and to make sure that you are happy with the appearance.
The veneers will then be removed and the tooth surface prepared for the dental adhesive. The veneers will be permanently cemented in place to create the beautiful smile you have been waiting for.
 Looking after your veneers
Veneers can last a long time but a lot depends on how you take care of them. You must maintain good oral hygiene brushing and flossing twice a day, also have 6 monthly examinations with your dentists.
Habits that damaged your natural teeth, like biting pens and pencils, opening bottle tops with your teeth and biting your nails will also damage your veneers.

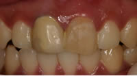
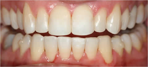
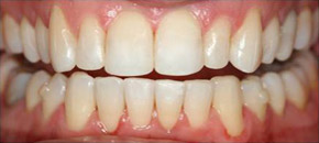
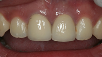
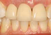
Crowns

aesthetic dentistry crown-01-before aesthetic dentistry crown-01-before
BEFORE AFTER
A crown is a tooth shaped cover which fits over the existing structure of your natural tooth to protect and restore the tooth’s function.
aesthetic dentistry crown-01-before
Crowns can be used to -
Strengthen teeth which have been weakened by decay or a large filling.
Protect fractured, cracked and worn teeth.
Improve the shape, alignment and shade of a tooth.
After root canal treatment, to help strengthen the tooth.
Each crown is individually handcrafted by our dental technician to create a healthy, natural look.
aesthetic dentistry aesthetic dentistry

 Before

After

Crowns can be made using the following materials – all metal (often gold)or tooth coloured crowns such as  porcelain fused to metal (often gold or a gold alloy), full ceramic (porcelain) or composite (plastic with glass particles embedded). The material used will depend on why you are having the crown.
cosmetic dentistry
Whether you choose to have a crown to improve the shape and alignment of your teeth or to strengthen your tooth, the procedure is the same.
cosmetic dentistry
Two appointments are necessary, the first to prepare the tooth for the crown and the second to fit the crown.
aesthetic-dentistry 5-before aesthetic-dentistry 5-after
Before After
The preparation appointment
cosmetic dentistry
pre-treament
cosmetic dentistry
during treatment
cosmetic dentistry
completion
A local anaesthetic may be need to numb the tooth and surrounding gum
The dentist will then shape the outer surfaces of the tooth, creating a cylindrical shape onto which the crown will seat.
An impression (mould) is taken of your teeth using special dental "putty"generally made from silicone. The putty is placed into an impression tray; they are both then inserted into your mouth and pushed over your teeth in order to take an impression. Once the dental putty is set, the impression will be removed.  An impression is also taken of the opposing teeth, so the technician can see how you bite together
 A temporary crown will be cemented onto the prepared tooth to protect it whilst your crown is being fabricated.
The impression will be sent to the Dental Laboratory where our technician will handcraft your crown. This will take between two and three weeks.

Bridge

cosmetic dentistry
A bridge is one of the options to replace one or more missing teeth. It is a permanent fixture which is anchored to the adjacent natural tooth or teeth (the abutment) to ‘bridge’ the gap where the tooth (or teeth) is missing (the pontic). This also prevents the adjacent natural teeth from drifting.
A bridge is a great option if you do not wish to have dental implants or a denture to replace your missing tooth or teeth. There are many different designs and materials which can be used for bridges: your dentist will discuss the best option for you.
Each bridge is individually handcrafted by our dental technician to create a healthy, natural look which also sits comfortably with your bite.

Preparation & Process:

There are several types of bridges
restorative-dentistry restorative-dentistry
Before After
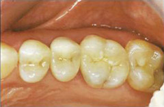
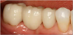
Treatment Gallery: Tooth Coloured Filling
tooth-color-filling tooth-color-filling
Before After
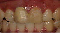
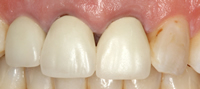
This patient had poor oral hygiene and we replaced
the two front crowns and bleached the others
tooth-color-filling 02-02-before tooth-color-filling 02-02-after
Before After
         The leaky plastic fillings were replaced with new generation
tooth coloured restorations
tooth-color-filling/02-03-before tooth-color-filling/02-03-after
Before After

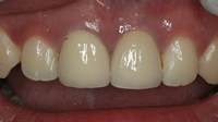
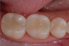
This patient did not like the appearance of the silver amalgam
fillings and were replaced with tooth coloured resin

tooth-color-filling 02-04-before
Before

Invisalign straightened these teeth but some damage had occurred previously to the edges making them look asymmetrical.
Composite resin was used to recreate the colour and shape of the natural teeth and a magnificent smile.

tooth-color-filling 02-04-after.jpg
After