General Dentistry deals with the maintenance of our oral hygiene and tooth health. At Vcare32 Dental Hospital, we provide pain free laser general dentistry such as routine dental exams and cleanings, as well as more complex dental services.
Professional dental cleaning is designed to preserve health of teeth and gums and prevent the spread of disease and gives the dentist an opportunity to locate other areas in the mouth that may need attention. The gums and the teeth are cleaned by removing the tartar/calculus and satins thereby preventing gum diseases. It is strongly recommended that a dentist or hygienist perform dental cleaning every 3-6 months.
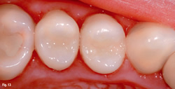
We do Dental Fillings, which is used to repair the damage to the structure of the tooth. We use different materials like gold, amalgam, composite resin (white filling material) or porcelain to restore the structure of the tooth. Our healthcare professionals will work with the patients in determining which of these will work best for them.


Many people have fillings, the majority being grey metal called ‘Amalgam’. Fillings do not just have to be practical,
they can also be aesthetically pleasing and thus many patients no longer have the desire for amalgam fillings
because they are visible: with most white fillings, no-one would know it was there.
